Operative Maßnahmen: Knieersatz
Wenn ein Patient konservativ nicht mehr beherrschbare Kniearthose-Schmerzen hat, muss man die Implantation (Einbau) einer Knie-Endoprothese (künstliches Kniegelenk) in Betracht ziehen.
Der am häufigsten verwendete Endoprothesentyp ist der Oberflächenersatz des Kniegelenkes, bestehend aus einem Ersatz der Gelenkflächen am Oberschenkelknochen und Unterschenkelknochen. Dazwischen wird eine Polyethylen-Gleitfläche eingebracht. Wenn der Knorpelbelag an der Rückfläche der Kniescheibe auch hochgradig zerstört ist, verwenden viele Operateure zudem einen Ersatz der Rückfläche der Kniescheibe.
Bild 1
Bild 2
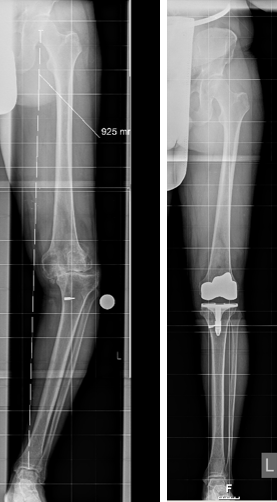
Bild 3
Bild 1: viertgradige und damit höchstgradige Kniearthrose nach einer schweren Verletzung des Kniegelenkes mit massivem O-Bein
Bild 2: Beispiel einer Oberflächenersatz-Endoprothese des Kniegelenkes: Columbus-Oberflächenersatz-Knieendoprothese / Fa. Aesculap, bestehend aus einem Ersatz der Gelenkflächen am Oberschenkelknochen und Unterschenkelknochen. Dazwischen wird eine Polyethylen-Gleitfläche eingebracht.
Wenn der Knorpelbelag an der Rückfläche der Kniescheibe auch hochgradig zerstört ist, verwenden viele Operateure zudem einen Ersatz der Rückfläche der Kniescheibe.
Bild 3: Ganzbein-Röntgenaufnahme dieses Patienten vor und nach Implantation einer Oberflächenersatz-Knie-Endoprothese mit jetzt korrekter Beinachse
Spezielle anatomische Situation
Bei bestimmten anatomischen Situationen, wie z. B. isolierte innenseitige Kniearthrose oder instabilem Kniegelenk kommen Spezialimplantate zur Anwendung. Wir verwenden die so genannte „Schlittenprothese“, bei der nur ein Teil des Kniegelenkes ersetzt wird. Liegt ein völlig instabiles Knie vor oder bei einer Knieprothesen-Wechseloperation braucht man eventuell eine „Achsknie-Endoprothese“, bei der der Oberschenkel-Unterschenkel-Teil durch eine Achse gekoppelt ist.
Bild 1
Bild 2
Bild 1: Knie-Röntgen-Bilder eines Kniegelenkes von vorne und von der Seite nach Implantation einer „Schlittenprothese“
Bild 2: Röntgenbilder von vorne und seitlich nach Implantation einer „Achsknie-Endoprothese“
Zwei wichtige Bemerkungen zur Knie-Endoprothetik
a) Navigation / Robotik in der Knieendoprothetik
Bei der Navigation werden die Knochenschnitte für die Knie-Endoprothesen-Komponenten computergestützt durchgeführt.
Die aktuelle wissenschaftliche Datenlage bei Verwendung der computergestützten Navigations-Technik zeigt kurz- und langfristig keine besseren Resultate im Vergleich zu konventionell implantierten Knie-Endoprothesen (AE (= Arbeitsgemeinschaft für Endoprothetik) Masterkurs Knie Juli 2021).
b) Zufriedenheit der Patientenheit nach Implantation einer Knie-Endoprothese
Nach Implantation einer Knie-Endoprothese sind ca. 20 % der Patienten mit dem Operationsresultat nicht zufrieden. Bei über 50 % fühlt sich das operierte Knie nicht normal an: Steifigkeit, Schmerzen, Bewegungseinschränkung, Schwäche, Instabilität.
Zitat aus: Masterkurs Knie Juli 2021 der Arbeitsgemeinschaft für Endoprothetik Deutschland (AE)





